Il mastocitoma è un tumore che può interessare sia il cane che il gatto e per la specie canina si riscontra più frequentemente in alcune razze quali Golden e Labrador retriever, Boxer, Carlini, Bulldog inglesi, Boston e Bull Terrier e Shar-Pei. Generalmente sono maggiormente predisposti soggetti di età medio-avanzata ma nei cani di razza Shar-Pei possono comparire anche in giovane età. Le femmine sembrano essere maggiormente colpite rispetto ai maschi.

La presentazione clinica del mastocitoma è variabile e frequentemente il proprietario riferisce di una lesione che aumenta e diminuisce di dimensioni (a causa delle sostanze rilasciate dalle cellule neoplastiche). Si possono presentare come masse nodulari o bottoniformi, eritematose, alopeciche o ulcerate o come rigonfiamenti similurticarioidi o come aree di aspetto edematoso. Possono essere presenti noduli singoli o multipli (negli Shar-Pei sono indice di neoplasia aggressiva). Le lesioni possono presentarsi in tutto il corpo ma principalmente a livello di tronco ed arti. Il comportamento biologico sembra dipendere anche dalla sede di insorgenza, infatti le lesioni che compaiono a livello di scroto, prepuzio, orecchie, dita, muso e giunzioni mucocutaneesono generalmente correlate a maggiore aggressività e tendenza a metastatizzare. Oltre alla sintomatologia cutanea possono anche comparire segni sistemici di malattia quali vomito, prurito, melena, ulcere gastroenteriche e problemi di coagulazione tutti correlati all?azione delle sostanze vasoattive rilasciate dai mastociti.

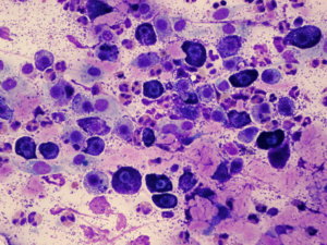
La citologia è utilissima per la diagnosi iniziale e solitamente dalle lesioni si ottengono preparati molto cellulari con un tappeto di cellule rotondeggianti, disposte singolarmente e caratterizzate da nucleo rotondo e citoplasma moderatamente abbondante e contenente una quantità variabile di granulazioni color porpora. Le cellule possono presentare anche criteri di malignità quali anisocitosi, anisocariosi, mitosi ecc. Nei mastocitomi caratterizzati dalla presenza di mastociti contenenti poche granulazioni citoplasmatiche può essere utile rilevare la presenza di granulociti eosinofili e fibroblasti reattivi.
È sempre importante eseguire la stadiazione mediante esami citologici dei linfonodi satelliti, ma anche ecografia ed eventualmente istologia di milza e fegato, esame emocromocitometrico, valutazione del midollo osseo, profilo coagulativo. La diagnosi definitiva deve essere istologica per definire il grado istologico (grading) e quindi il grado di aggressività del tumore.
La chirurgia rappresenta la scelta di elezione in particolare per quei mastocitomi di basso grado o che non presentano metastasi almomento della diagnosi e deve prevedere un approccio aggressivo ad ampi margini. Per i tumori di grado elevato, per quelli inoperabili o se sono già presenti metastasi può essere utile ricorrere alla chemioterapia, ma anche la radioterapia può essere utile.
La prognosi dipende dal grado istologico, dalla clinica, dalla sede anatomica e dalla razza.




